1909年,光绪帝出殡时的真实照片,128名壮汉抬着他的棺材
2024-10-21 13:32:13
做完冠脉造影,病人就活不久了?医生劝告:4种人别轻易尝试
“可能要做个冠脉造影哦”,熙熙攘攘的诊室内,主任对68岁的马大爷说了这句话,马大爷有点耳背了:“啥,你说啥?啥叫冠脉造影啊”?
主任耐心解释道:“大爷,是这样的,你的情况比较复杂,你不是说胸口不舒服吗?我考虑就是你的血管堵住啦,所以血液不通畅,所以才会不舒服,这个时候我们就要做一个检查,就叫冠状动脉造影检查,能看到你血管堵塞的样子”。

马大爷犹豫了一下:“这个东西贵不贵啊”?
主任说:“不是很贵,你的情况能报销的,放心吧”。
马大爷还是说:“我想回去和我儿子商量一下,这个我也不懂,不敢随便乱做”。主任点点头:“可以,其实很安全的,你先回去商量一下也可以,但是你的情况不要拖了,比较危险”。
马大爷点点头就走了,第二天,马大爷和儿子一起来的,马大爷的儿子见到主任后便说:“医生,我爸爸能不能不做这个检查”?

医生问:“你爸爸的胸部不适症状比较剧烈,如果不做冠脉造影,我们不确定他现在的情况到底怎么样,不利于我们进行下一步治疗,而且这种情况最好不要拖了,很危险的”。
马大爷的儿子很难为情:“实话跟您说吧,主要是我们隔壁的邻居前年也做了冠脉造影,然后今年就死了,死之前一直后悔做了那个什么冠脉造影,说是做完病人就活不久了,所以我不想我爸爸做这个检查”。
主任摇摇头:“你邻居的死,应该和冠脉造影关系不大,冠脉造影目前很安全的”。
主任已经说到这份上了,马大爷和儿子还是坚决不做这个检查,主任无奈。

马大爷的儿子最后带着爸爸就走出了门诊。
主任不由的叹了口气,别看现在的人们思想开放了很多,但其实在很多地方还是非常固执的。
冠脉造影技术的诞生,其实是一个误会。上世纪五十年代末,美国一名医生在给一名患有主动脉病变的患儿进行心脏造影的时候,不小心通过肱动脉进入了主动脉根部。
然后他将导管远端分别放置在了左右冠脉口,将大约30ml的造影剂注射入冠脉内使造影更加清晰,让人稀奇的是,患者竟然没有出现严重的室颤。要知道在当时的医学界认为:如果向冠脉内注射造影剂,会引起室颤,非常危险。
这位医生的发现,迅速改进了冠脉造影技术,开创了选择性冠脉造影术,十多年后,该技术进一步发展完善。

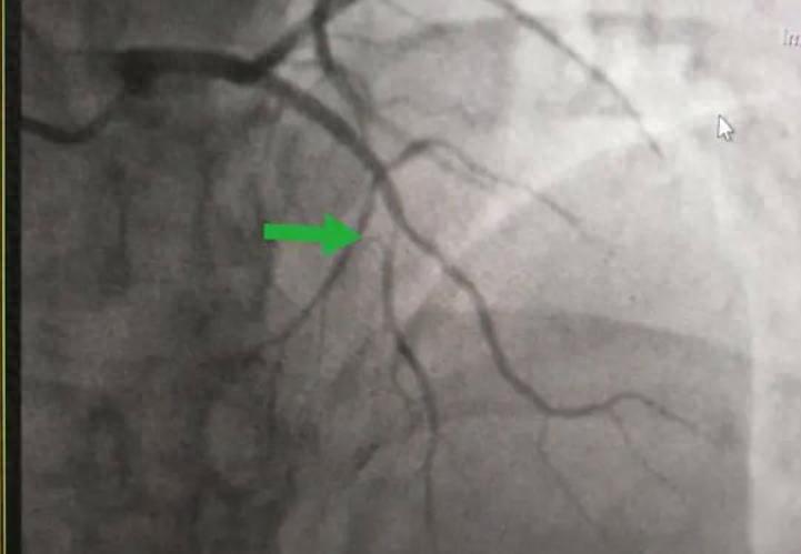
冠脉造影是一项诊断冠脉疾病非常有效的技术,它利用血管造影仪器,然后通过特定型号的导管,将其经皮穿刺进入下肢的股动脉,沿着患者的主动脉进入升主动脉,然后找到左右冠脉插口,注射造影剂,这样的话冠脉造影就能很好的成像了。
冠脉造影的出现,主要就是为了看清楚冠状动脉的病变,因此帮助诊断应该是冠脉造影技术出现的主要原因。那么它的适应症有哪些?
1、患者出现了不明原因、不好判断、但是无创性检查根本找不到原因的胸痛,临床医生怀疑可能是冠心病,那就要做冠脉造影,协助诊断。
2、患者出现了不明原因的心律异常,就像顽固性的室性心律异常和传导阻滞,这个时候由于诱发因素过多,因此要做个冠脉造影,来排除冠心病的可能。

3、患者有不确定原因的左心功能不全的问题,多见于扩张性心肌病或缺血性心脏病,这个时候如果要准确鉴别患者的情况,那么就需要配合冠脉造影。
4、患者已经做了冠状动脉的介入治疗和冠状动脉旁路移植手术,但是患者还是出现了心绞痛的症状,这个时候就要补充冠脉造影,看看是不是没做好。
5、患者要做心脏瓣膜手术、先心病手术之前,要做一个冠脉检查,以防并发症的出现。
还有,患者没有症状,但是从事特殊职业并且考虑可能有冠心病的人,那也要补充一个冠脉造影。

所以,当医生告诉你要做冠脉造影的时候,其实已经有不小的把握确定你是冠脉的问题,如果你不相信医生,那医生是没办法帮助你的。
一般来说不会有安全问题。冠脉造影剂的选择以前是用含碘的造影剂,因为碘比较稳定,进入身体后不会出现分解的问题,而且能被排出体外,基本不会有太大的影响。
现在使用的冠脉造影剂是碘克沙醇,是一种更小分子的造影剂,安全性能达到了进一步的提升。
那么使用造影剂后,会不会有什么副作用?
可能会出现过敏反应。因为有些人就是对碘过敏,而且有一部分的患者自身会对碘产生排斥反应,可能引起不良症状。为了杜绝这种事情,一般会在造影之前做个皮试,观察患者是否出现皮疹、瘙痒的问题。如果对碘过敏严重的患者,会出现呼吸困难和休克。

造影剂肾病。如果患者要做冠脉造影,其实还要再做个肾功能检查,因为如果有肾功能不全的问题存在,有可能影响到造影剂排泄和损害肾功能,如果患者的造影剂长期代谢不出去便会导致造影剂肾病。
血管痉挛。当患者做造影检查的时候,一定要放轻松,如果很紧张说不定会引起血管管路痉挛闭塞的问题,多数发生在女性群体内。
总之,没人敢保证造影是100%安全的,只是这项技术临床很有用,我们有时候必须用。
冠脉造影不是你想做就能做的,这四种人想做还做不了。

1,心绞痛一级和二级患者。心绞痛一级患者一般发生在剧烈运动之后,稍微休息一下就能缓解,二级心绞痛患者也必须在彩超、平板测试确定有冠心病后,才需要做冠脉造影。简单来说就是一级和二级的心绞痛比较轻,没必要做冠脉造影。
2,患有严重肾病的人。造影剂主要通过肾脏代谢,如果肾功能本来就不好,还要用造影剂,就有可能造成更严重的肾损害,因此本身就有肾病的患者不适合使用冠脉造影。
3,患者甲亢。造影剂含有碘,甲状腺功能亢进患者对碘还是比较敏感的,如果你使用了这种造影剂说不定会诱发甲亢。

4,过敏患者。如果不做皮试,冒然使用了造影剂,可能会诱发出患者过敏反应。相应的,如果患者真的是过敏患者,也不适合做冠脉造影。
综上所述,造影剂本质上没有什么危害,造影技术对于有需要的人来说,也是很好的辅助技术,希望大家不要再以谣传谣了。
2024-10-21 13:32:13
2024-10-21 13:30:10
2024-10-21 13:28:07
2024-10-21 13:26:04
2024-10-21 13:24:02
2024-10-21 13:21:59
2024-10-21 13:19:56
2024-10-21 13:17:53
2024-10-21 13:15:50
2024-10-21 13:13:47
2024-10-21 13:11:44
2024-10-21 13:09:40
2024-10-21 13:07:37
2024-10-21 13:05:34
2024-10-21 13:03:31
2024-10-21 13:01:28
2024-10-21 12:59:25
2024-10-21 12:57:22
2024-10-21 12:55:19
2024-10-21 12:53:16