揭秘马云退休的真正原因是什么?
2024-09-10 22:04:22
31张高清影像学图像带你认识泌尿系统结石
写在前面的话
尿道结石在伴侣动物中已经有大量文献充分讨论,诊断性影像学对发现结石十分重要。长期以来,检测不透明矿物结石的主要方法一直是放射成像,但超声检查也能用于疾病检测并能得出更清晰的组织特征。阴性与阳性对比造影检查可以获得更多有价值的信息来帮助诊断尿路疾病。
1.肾结石和输尿管结石
在检测泌尿系统的异常之前,你需要先了解肾脏在放射成像和超声检查中的正常外观(图1)。此外,在放射成像或超声检查犬猫上尿路系统时(图2),还应考虑到几种可能的伪影或者说“陷阱”。

图1A、用于观察肾脏(箭头处)的正常猫的腹背位X光片。我们要记住肾脏的豆形外观,平滑的囊状边缘,正常大小(约L2腰椎长度的2.2倍)和位置。由于这只猫腹膜后脂肪的量较少,所以两侧肾脏都容易看到。犬的左肾比右肾更容易识别和评估,因右肾边缘的前侧顶点模糊了肝尾叶的肾窝。

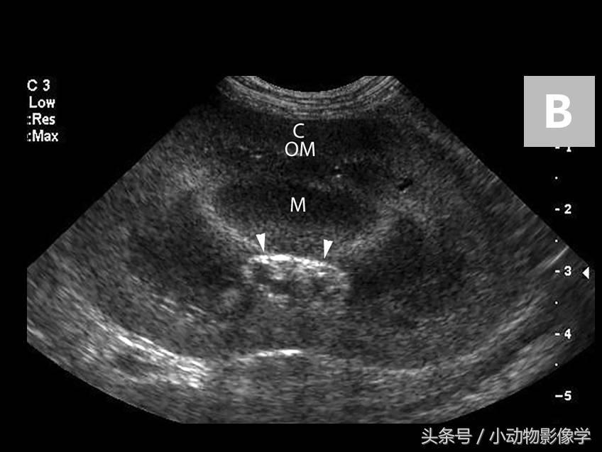
图1B、犬正常左肾的背面观超声图像。注意外层高回声肾皮质(C)和外层肾髓质(OM)(这两者无法区分),以及内层均匀的低回声肾髓质(M)。肾盂在肾脏的深部或中部呈直角状括弧(箭头)。

图1C、犬正常右肾的矢状面超声图像。相对于图1B,该图像同样取长轴方向,但是切口与背面相垂直。皮质和髓质看上去是一样的,但肾盂在图像深处中缺失(位于平面外)。

图1D、犬正常左肾中间部分的横截面图像。肾门(RH)和脉管系统可注意到沿肾内侧(图像左侧)。可以看到无回声的血管周围有大量高回声的脂肪。该图像是身体的“短轴”方向,左肾垂直于图1B和1C。

图2A、健康犬的右侧位X光片。可见在腹膜后隙有几个圆形不透明软组织的叠影,这些代表前侧的一端向前的肾静脉(箭头)和后侧的旋髂深血管(三角箭头)。

图2B、猫健康肾脏的横截面超声图像。在肥胖的猫中,脂肪可以出现于肾窦并延伸到肾憩室(箭头)。不要把这种情况误认为可造成声影伪象的肾憩室矿化(见后面文章的图3D和4B)。
肾脏或输尿管内的结石在诊断和处理上都比较困难。识别肾结石并将其与肾憩室的营养障碍性矿化作用区分是很重要的。虽然营养不良性矿化和结石都可能是偶然发现,但结石会导致进一步的并发症。结石可阻塞肾盂或输尿管,诱发肾盂肾炎,或造成肾实质的压迫性损伤,导致进行性慢性肾脏疾病。
肾结石在大小,数量,形状和透明度等方面都可能有显著差异(图3)。肾实质的营养不良性矿化通常与集合管系统相关,这也是发生于肾脏的矿化作用的另一个差别(图4)。与单独的超声检查相比,放射成像、阳性对比造影(排泄性尿路造影)和超声检查的联合应用已被证明能增加输尿管结石诊断的灵敏度(图5)。

图3A、一只临床表现正常的犬X光片,这是左肾图像的特写图片,可见一个大块、边缘光滑的肾结石。

图3B、图3A中左肾的超声图像。可见结石的高回声平滑表面,和由矿化结石引起的明显的远端声影伪像(S)。

图3C、这是另一只临床表现正常的犬X光片,这张类似的左肾影像的特写图片中可见边缘不规则的结石和营养不良矿化的肾憩室区域(肾憩室上成对的矿化不透明的粗线条)。

图3D、图3C中左肾的超声图像。注意不规则边缘,肾憩室相关的营养不良矿化的线性区域,导致明显的远端声影。图像上的阴影伪像(S)使得我们难以评估那些在X光片上容易看到的解剖结构。可将这张图像与图1B中的正常肾脏进行比较。

图3E、这是另一只狗左肾X光片的特写,肾盂区域内有小型肾结石(箭头)。

图3F、图3E中左肾的超声图像。与图3B和3D相比,由于该犬的结石(箭头)体积较小,所以远端声影伪像很小(三角箭头)。

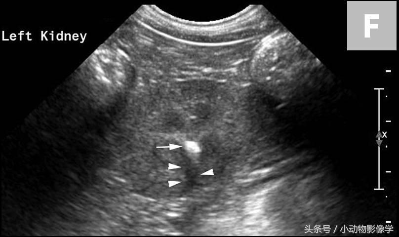
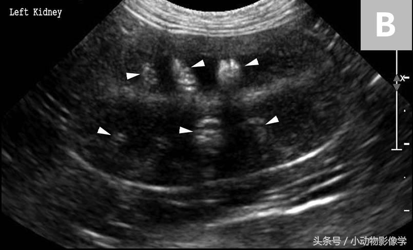
图4A、一只犬的左肾X光片的特写,肾憩室局部可见界限清楚的线性矿化区域。

图4B、图4A中左肾的超声图像,其中憩室内的高回声区域代表X光片上的矿化区域(三角箭头)。矿化区域的回声反射性因其大小及超声波束入射角度都不同所以区别很大。

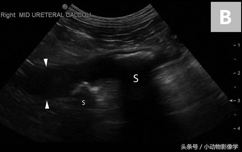
图5A、犬腹部侧位平片,可见腹膜后隙后方和肾脏背侧有两个界限清楚的椭圆形矿物化不透明重叠影像(箭头)。结合腹背位正片(这里没有显示),这些结石可能与右输尿管相关。

图5B、图5A中犬的超声图像,证实了矿物化结构位于右侧输尿管内。可见输尿管显著扩张(三角箭头之间),及输尿管腔内的两个结石引起的远端声影伪像(S)。
输尿管结石是导致输尿管梗阻的常见原因,在选择适当的治疗方法之前,必须先确定输尿管结石的位置。虽然报道称输尿管结石是导致输尿管阻塞的最常见原因,但其他原因如医源性结扎、血栓、肿瘤、血管狭窄(先天性和后天性)、固化血液结石和环腔静脉输尿管畸形(circumcaval ureter)也能导致阻塞。
阻塞物可以位于输尿管的任何位置,且在严重程度上各有不同。正常的输尿管由于体积小通常在超声检查中看不见。找到输尿管扩张部分最简单的方法是从骨盆开始寻找输尿管。在大多数情况下,输尿管在阻塞部位附近扩张,离阻塞部位越远就越细,外观也越正常。影像检查还可能发现由输尿管炎和尿液渗漏引起的腹膜后积液。
犬移除肾结石的可能征兆包括阻塞,复发性感染,进行性结石增大,表现临床症状(肾痛)和只有一个可工作肾脏的结石动物。猫移除结石的最常见征兆是输尿管结石引起的梗阻。
除非阻塞物进入输尿管并引起输尿管梗阻,否则猫非阻塞性肾结石通常不会治疗。非阻塞性肾结石通常对猫慢性肾脏疾病的进展影响非常小,所以仅有结石存在不是治疗的理由。
与输尿管结石相关的临床症状可以是长期非特异性症状,或急性或慢性肾功能衰竭。肾积水则高度提示输尿管阻塞(图6)。

图6A、一只大麦町犬轻度至中度的右肾盂积水和近端输尿管扩张。

图6B、这是导致图6A中犬尿道梗阻和肾盂积水的右侧输尿管结石(准星之间)的超声图像。注意输尿管结石附近的输尿管扩张(三角箭头之间)。
只凭放射检查和超声检查很难分辨输尿管完全阻塞与部分阻塞。顺行性肾盂造影(在超声图引导下,肾盂穿刺并骨盆腔注入碘化阳性造影剂)可能会辅助分辨完全阻塞与部分阻塞(图7)。
与标准静脉尿路造影相比,顺行性肾盂造影更有优势,因为其降低了造影剂的肾损伤的潜在风险,并且无论肾功能怎样,都能良好地充盈肾集合系统。

图7A、一只猫的腹部侧位平片,腹膜后隙的腹侧方向(箭头)有多个小型椭圆不透明矿物阴影叠加。这些线性排列的不透明矿物质从肾的尾部延伸到膀胱。

图7B、图7A中猫的超声图像,可见X光片上的结石(箭头)都分布于左输尿管内(三角箭头之间)。

图7C、同一只猫的顺行性超声引导肾盂造影影像,可见中度肾积水(H)和输尿管内多处充盈缺损(结石)(箭头)。尽管输尿管结石数量很多,但动物输尿管仍只是部分梗阻,因为阳性造影剂在结石远端(三角箭头)。
2.膀胱和尿道结石
膀胱结石的形成由多种遗传和环境因素导致,通常必须进行治疗。放射成像检测膀胱结石的敏感度高达87%,当结合阴性、阳性或双重对比膀胱造影时,敏感度可提高至95%。
导致探查性放射成像发现率低的主要原因是不同结石的化学成分不同。小动物临床最常见的结石类型是鸟粪石和草酸钙,两者都是不透明矿物(图8)。

图8A、确认为草酸钙结石的犬膀胱侧位平片,这个结石草酸钙结石构造中常见的不规则边缘。 通过X光下的结石形态初步判断结石成分,参见
原文中此处为链接,暂不支持采集
第15章 第三节。

图8B、图8A中犬的超声图像。可见结石的不规则边缘及结石引起的远端声影伪像(S)。

图8C、确认为鸟粪石结石的犬膀胱侧片。这些结石鸟粪石构造中常见的非常平滑的边缘。通过X光下的结石形态初步判断结石成分,参见
原文中此处为链接,暂不支持采集
第15章 第三节。

图8D、图8C中犬的超声图像。与图8B相比,此结石的边缘非常平滑。
总体而言胱氨酸和尿酸盐结石比较少见,但它们分别在斗牛犬和大麦町犬中较常见。这两种结石通常是不透明的非矿物质,且仅用探查性放射成像无法发现。记忆这两种不透明非矿物质结石的一个口诀是“I can’t C U”(C是Cystine,胱氨酸;U是Urate,尿酸盐)。半胱氨酸和尿酸盐结石无法显示在片子上,是因为它们往往没有矿化。对于非矿物质不透明结石,可以用对比膀胱造影术或超声检查来检测(图9)。

图9A、一只斗牛犬的侧位平片,患犬表现反复的血尿和排尿涩痛。未发现不透明矿物质膀胱结石。

图9B、图9A中患犬的膀胱双对比造影。膀胱中央可见界限清楚、边缘平滑的一处充盈缺损(箭头),符合结石特征。经分析确认为尿酸盐结石。
膀胱结石可能会下降到尿道,导致尿道阻塞。对于公犬,X光片拍摄必须调整位置,使影像涵盖整个尿道(图10)。

图10、一只公犬侧位平片,聚焦于会阴部,后肢向腹侧牵拉(后肢在髋股关节处弯曲)。该射线照片显示了尿道海绵体部多个界限清楚的不透明矿物结石(箭头)。
阴茎骨相关的成骨作用的单独中心可能会与尿道结石十分相似(图11A和B)。骨化中心可以出现在阴茎骨的任意一端,且与阴茎骨在同一直线上。尿道海绵体内的结石位于阴茎骨腹侧的尿道部位。对比尿道造影在区分尿道结石和分离的骨化中心会非常有用(图11C)。

图11A、一只公犬的侧位平片,包括膀胱和阴茎骨。注意接近并与阴茎骨根部处于在同一水平的界限清楚不透明矿化区域,这是一个单独的骨化中心(箭头)。包皮上两个不透明软组织结节推测为小乳头(三角箭头)。

图11B、一只公犬的侧位平片,显示阴茎骨头部远端有一块很小的单独的骨化中心(箭头)。

图11C、图11A的犬的利用荧光镜的阳性对比尿道造影术。注意不透明矿化区域下方是充满了碘化造影剂的尿道(U),确认为单独的骨化中心(箭头),不要与尿道结石弄混。
3.结论
放射成像和超声检查可以检测肾脏解剖结构的变化,包括肾脏尺寸、形状和边缘的变化。超声检查可以帮助识别并区分肾营养不良性矿化作用和肾结石。对比造影放射技术还可以补充这些影像方法,用于检测输尿管或尿道的阻塞,或非不透射线的(非矿物的)膀胱和尿道结石。
Daniel Vander Hart, DVM, DACVR

end
“
2024-09-10 22:04:22
2024-09-10 22:02:15
2024-09-10 22:00:08
2024-09-10 21:58:01
2024-09-10 21:55:54
2024-09-10 21:53:47
2024-09-10 21:51:40
2024-09-10 21:49:33
2024-09-10 21:47:27
2024-09-10 21:45:20
2024-09-10 21:43:13
2024-09-10 21:41:06
2024-09-10 21:38:59
2024-09-10 21:36:52
2024-09-10 21:34:45
2024-09-10 21:32:38
2024-09-10 21:30:31
2024-09-10 21:28:24
2024-09-10 21:26:17
2024-09-10 21:24:10